Smile Gallery

Your smile tells a story—and we’re proud to help our patients share theirs with confidence. This gallery highlights real results from individuals who trusted us with their care, showcasing the blend of advanced techniques and artistic detail that set our work apart. Every before-and-after represents a journey toward greater health, beauty, and self-assurance. Explore these transformations and picture the possibilities for your own radiant smile.

Case 1

BeforeBefore
AfterAfter

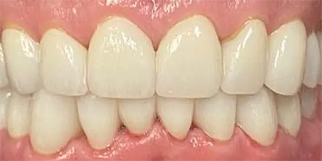
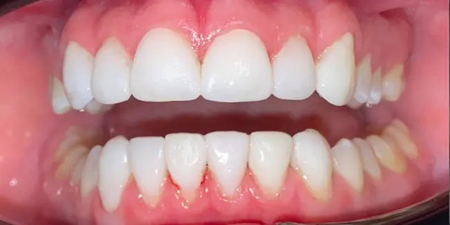
Case 2

BeforeBefore
AfterAfter

Case 3

BeforeBefore
AfterAfter

Case 4

BeforeBefore
AfterAfter

Take the First Step

Your smile deserves care that feels personal, supportive, and completely tailored to you. At Smiles of Fulshear, booking a consultation with Dr. Ngo is the easiest way to explore your options and get clear answers about your dental health. From your very first visit, we focus on listening to your concerns, explaining treatment possibilities, and helping you feel comfortable with every step. Patients from Fulshear, Katy, and the surrounding area count on us for trusted guidance, compassionate service, and high-quality results that make a lasting difference.

Patient Reviews

Hearing directly from our patients is the best way to understand the level of care we provide. At Smiles of Fulshear, every review reflects the trust our community places in us. From routine checkups to advanced treatments, patients throughout Fulshear and beyond share their appreciation for the comfort, compassion, and results they’ve experienced here. Take a look at what they have to say and see why so many families choose our practice year after year.

More Reviews